FREE WEBINARS FOR DENTISTS   
Our Free Webinars will teach you actionable techniques you can use in your clinical practice the next day. Register now and attend one of these webinars this week.
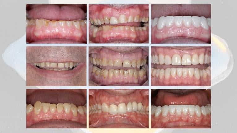
HOW TO RESTORE A PATIENT WITH SEVERE EROSION
This webinar will feature a detailed step-by-step case study for a patient with severe erosion treated with a partial rehabilitation by Dr. Stephen Phelan.

This webinar will teach you how to grow your dental practice by helping more of the moderate to severe tooth wear patients you’ve been avoiding.



IMPLANTS IN THE AESTHETIC ZONE CASE STUDIES – PREDICTABLE SYSTEMS AND TECHNIQUES
Join Dr Naheed Mohamed for a free webinar training that will teach you how to be successful and predictable with treating anterior implant cases.

This webinar will be packed with valuable clinical information and 7 uniques case studies to demonstrate this information.

SIMPLIFIED POSTERIOR COMPOSITES – PREDICTABLE TECHNIQUES FOR EVERYDAY PRACTICE
Join Dr. Bob Margeas, Dr. Marcos Vargas and Dr. Stephen Phelan for a free webinar teaching you how to create long lasting posterior composite restorations. Numerous clinical situations will be shown in great detail from having a quadrant of adjacent class 2 restorations to the management of deep interproximal caries. Which matrix bands and rings work the best to create excellent contacts and how to prevent post-operative sensitivity will also be discussed.
ALTERING THE VERTICAL DIMENSION CASE STUDIES
Join Dr. Stephen Phelan for a webinar training that will teach you the seven critical factors you must consider when you alter or restore the vertical Dimension. See 3 different case full and partial rehabilitation studies where the vertical dimension was altered.

During this webinar you will learn a Predictable system to alter the vertical dimension for the wear patient that is simple to follow and implement in your dental practice.

GBR CASE STUDIES- PREDICTABLE SYSTEMS AND TECHNIQUES
Placing dental implants? Over 40% of all dental implants require some form of bone grafting. Join Dr. Naheed Mohamed and Dr. Stephen Phelan for a free webinar training that will teach you how to be confident and successful with your bone grafting procedures.

Using actual cases from Dr. Mohamed’s specialty practice this presentation will focus on a systematic approach to treatment planning and executing a successful GBR procedure.
HOW TO PREDICTABLY MANAGE EXTRACTION AND SOCKET
GRAFTING CASES
Join Dr Naheed Mohamed and Dr Stephen Phelan for a free webinar that will teach you a simplified systematic approach to manage different types of extraction and grafting cases

This webinar will feature actual cases from Dr Mohamed’s specialty practice.



GLOBAL DIAGNOSIS – A WORLD VIEW
Join Dr. Bill Robbins and Dr. Stephen Phelan for a free webinar teaching you a systematic approach to interdisciplinary diagnosis and treatment planning.

This webinar will teach much more than just treatment planning. In this webinar we will start by exploring the diagnostic system. Once the diagnoses are made, we must understand the required treatment. You will learn about the ortho/perio/restorative interface. You will also learn about applying global diagnosis to esthetic crown lengthening, orthodontic intrusion and expansion and segmental and full mouth rehabilitation.
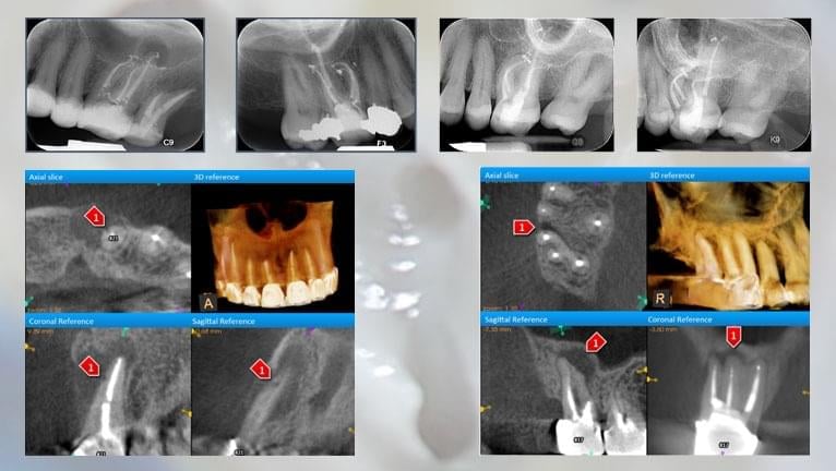
THE USE OF CBCT TECHNOLOGY IN ENDODONTICS
Join Dr. Nahmias and Dr. Stephen Phelan for a free webinar teaching the GP how to the use of CBCT Technology for diagnosis and treatment of complex endodontic cases. Dr. Nahmias will show a series of cases and explain the decision making process and rationale for the use of 3D Imaging.

This webinar will feature a number of interesting and informative cases from Dr. Nahmias’s specialty practice.

SOFT TISSUE MANAGEMENT IN DENTISTRY- PREDICTABLE SYSTEMS AND TECHNIQUES
Join Dr. Naheed Mohamed and Dr. Stephen Phelan for a free webinar training that will teach you how to be confident and successful with your soft tissue grafting procedures. Learn 6 different types of soft tissue grafts and different harvesting locations and techniques.

This webinar will feature actual cases from Dr. Mohamed’s specialty practice. The presentation will focus on a systematic approach to treatment planning and executing a successful soft tissue grafting procedure.
© Copyright Phelan Dental Seminars      |      Dr. Stephen Phelan